Before and After

Incredible results and inspiring journeys; see some of our patients’ before and after photos the next time you visit our practice.


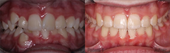
Crossbite


Crowding


Early Treatment


Extractions


Invisalign ®


Jaw Surgery


Missing Teeth


Open Teeth


Overbite


Spacing

Contact Us!
call email